г. Тверь, бульвар Цанова, д. 1Б, ТЦ «Домино», 2 этаж

пн-пт: с 9:00 до 20:00

сб: с 9:00 до 19:00

вс: с 9:00 до 16:00

Телефоны нашей клиники

Вы можете позвонить нам по одному из номеров представленных ниже

Записаться онлайн

Акилян Амжад Магомедович

Должность Врач стоматолог ортодонт
Стаж работы 21 год
Специальность Врач стоматолог ортодонт

О специалисте

Акилян Амжад Магомедович - стоматолог ортодонт с более чем 15-летним стажем работы. Специалист с успехом применяет современные брекет-системы Damon, гарантируя эффективное и комфортное лечение различных аномалий прикуса.

Закончил в 2003 Тверской государственный медицинский университет.
Базовое образование в 2012 Ортодонтия повышение квалификации.
В 2016 году Ортодонтия повышение квалификации.
«Брекет-система Damon - первые шаги к успешному лечению. Диагностика, планирование, выбор прописи, позиционирование» в 2013 году повышение квалификации.
«Этапы лечения системой Damon: от первой дуги до завершения» в 2013 году.
«Грамотное применение системы Damon в ортодонтической практике: от понимания принципов работы до завершающих этапов лечения» в 2016 году.

«Инновационная система для выравнивания зубов и исправления прикуса Еврокаппа» в 2019 году.

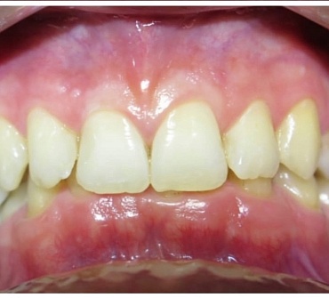
До

Внимание! Изображение может вызвать шок или неприятные эмоции.

Смотреть

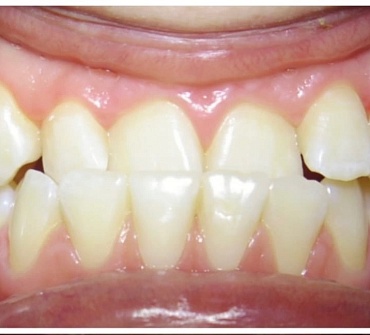
После

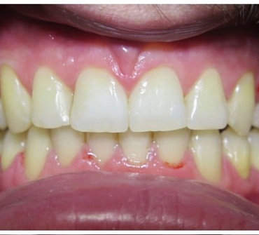
До

Внимание! Изображение может вызвать шок или неприятные эмоции.

Смотреть

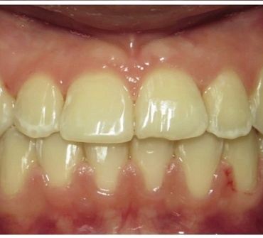
После

Лечение на брекет-системе

Сертификаты врача

Нужна консультация?

Оставьте ваш номер телефона и наши специалисты свяжутся с вами в ближайшее время.

Или напишите нам в WhatsApp

Заказать звонок