г. Тверь, бульвар Цанова, д. 1Б, ТЦ «Домино», 2 этаж

пн-пт: с 9:00 до 20:00

сб: с 9:00 до 19:00

вс: с 9:00 до 16:00

Телефоны нашей клиники

Вы можете позвонить нам по одному из номеров представленных ниже

Записаться онлайн

Высокие стандарты протезирования

Индивидуальные решения с учётом ваших пожеланий

Протезирование зубов

Цена от:

9 500 рублей

Записаться

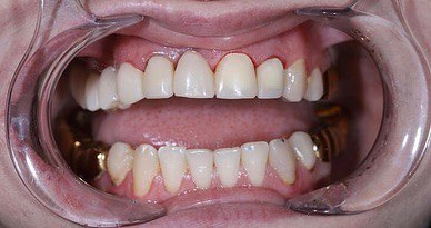
Протезирование - современная безопасная процедура восстановления зубного ряда, которая отличается безболезненностью. Сегодня в стоматологии используют специальные материалы для протезирования, поэтому вставные протезы не выделяются на фоне "родных".

Каждый зуб — активный участник процесса пережевывания пищи. Отсутствие одного из них вызывает нарушение прикуса и ощущения дискомфорта. Чтобы вернуть естественную улыбку, восстановить целостность зубного ряда и жевательную функцию, замедлить процесс уменьшения костной ткани обратитесь в клинику Dent-X для установки зубного протеза в Твери.

Показания к протезированию зубов:

  • поверхность зуба сильно разрушена, но корневая система сохранена;
  • нет одного, нескольких или всех зубов;
  • наличие противопоказаний для установки импланта или хирургического вмешательства;
  • финансовые возможности не позволяют установить имплант;
  • зубной ряд деформирован;

Когда необходимо протезирование

К традиционной стоматологической ортопедии прибегают в двух случаях:

когда пациенту недостаточно восстановления методом пломбирования;

при отсутствии 1 и более зубов.

Восстановление зубного ряда - не прихоть, а необходимость, потому что утрата даже одного приводит к серьезным последствиям:

возникает костная атрофия челюсти;

на соседние зубы приходится дополнительная нагрузка, что приводит к их стачиванию;

наблюдается эффект компенсации, когда зубной ряд смещается.

Реставрация зубов позволяет избежать таких последствий и сохранить красоту природной улыбки. Целостность зубного ряда влияет на здоровье, самоощущение, внешний вид.

Методы протезирования: виды с ценами

Протезирование бывает двух видов: съемное и несъемное. Съемное протезирование в стоматологии предполагает установку пластинчатых или бюгельных протезов, а также других разновидностей. Несъемное протезирование зубов происходит методом имплантации. Протезы производятся из современных материалов высокого качества, полностью безопасных для здоровья. В их составе нет опасных компонентов. Стоимость стоматологических протезов зависит от материала, из которого они изготовлены. Изделия могут быть выполнены:

  • из специальной безметалловой керамики;
  • из диоксида циркония;
  • из современной металлокерамики.

Безметалловая керамика дороже, она имеет естественный оттенок зубной эмали и никак не выделяется на общем фоне. Сложно даже предположить, что это искусственные зубы. Однако и другие материалы тоже выглядят достаточно естественно. Если хочется сэкономить, то можно выбрать бюгельное протезирование зубов.

Съемное протезирование зубов

Это самая распространенная технология благодаря сочетанию высокого качества протезов и цены. Съемные протезы имеют надежное основание из современного полимера, который имитирует десны. В основание вставлены протезы из выбранного пациентом или специалистом материала. Система изготавливается для конкретного пациента после тщательного обследования (получения слепков, рентгеновских снимков).

Несъемное протезирование зубов

Такой вид процедуры пользуется высоким спросом у относительно молодых людей. Способов восстановления в последние годы стало больше. С помощью несъемных протезов можно эффективно восстановить зубной ряд. Цены на процедуру разные и зависят от материала протеза, количества утраченных зубов. Цена протеза может колебаться в пределах 25-50 тысяч рублей.

Бюгельные протезы

Это технология, которая имеет ряд особенностей. Она недорогая, качественная и подходит не только для восстановления зубного ряда. Если у пациента пародонтоз, то с помощью протеза можно закрепить зубы и предотвратить их утрату. Протезы полностью незаметны, что только повышает их популярность.

Металлокерамика

Качественное протезирование возможно только при условии использования материалов нового поколения. Один из таких материалов - металлокерамика. Чаще всего ее используют в несъемном протезировании. Протез не только надежный, но и недорогой. Единственный недостаток метода в том, что несъемное протезирование зубов требует обтачивания соседних зубов под установку коронки.

Отдельно стоит упомянуть о таком методе, как микропротезирование. С его помощью можно восстановить зубной ряд. Специалисты используют виниры и внутренние протезы для решения проблем.

Какой вид протезирования выбрать? Это зависит от бюджета, количества утраченных зубов, личных предпочтений, рекомендаций специалиста. Многие люди выбирают несъемное протезирование, потому что им не хочется иметь дело со съемными конструкциями. Это вполне понятное желание.

Съемные протезы имеют важное преимущество - они практически лишены противопоказаний и подходят всем. Такие протезы" можно использовать даже при наличии различных заболеваний, которые исключают дополнительное вмешательство. При этом отсутствует риск утраты целых зубов - их не придется обтачивать.


Как происходит протезирование зубов?

Протезирование зубов — это многоэтапный процесс, который позволяет восстановить функциональность и эстетический вид зубного ряда. Этот процесс является необходимым для тех, кто утратил зубы в результате травм, заболеваний или возрастных изменений. Каждый этап протезирования тщательно планируется квалифицированным дантистом с учетом индивидуальных особенностей полости рта пациента.

На первом этапе проводится подготовка. Выполняется диагностика состояния зубов и челюсти, а также оценивается сложность и объем предстоящей работы. Применяется современное оборудование, которое позволяет максимально точно определить состояние зубов. Составить план лечения, где учитывается тип протезирования, который подойдет именно вам: тотальный протез, мост или съемные конструкции.

Следующий этап — удаление поврежденных или не подлежащих восстановлению зубов. После удаления проводится коррекция костной ткани, если это необходимо, чтобы обеспечить правильную установку протеза. Для этого используются высококачественные материалы, что делает процедуру безболезненной и безопасной.

Далее идет установка временного протеза, который поможет приблизить пациента к его будущей улыбке. После того, как вся подготовка завершена, проводится примерка основного протеза. Важно, чтобы протез подходил идеально — это обеспечит здоровую и красивую улыбку.

Завершающим этапом является окончательная установка и фиксация протеза. Протез может быть закреплен на имплантах, мостах или других опорах. После установки проводится корректировка, чтобы убедиться, что форма и функциональность протеза полностью соответствуют ожиданиям клиента.

Протезирование зубов в Твери в стоматологии Dent-x

Стоматология Dent-x — одна из ведущих клиник в Тверской области, где предлагается широкий спектр услуг, включая высококачественное протезирование зубов. Наша клиника находится в центральном районе города, что делает ее удобным для посещения гражданам и пенсионерам.

Dent-x предлагает своим клиентам разнообразные варианты протезирования, от простых съемных протезов до сложных тотальных конструкций. В клинике работают квалифицированные специалисты, которые помогут вам сделать точный выбор, исходя из ваших потребностей и состояния полости рта. Каждый клиент может ознакомиться с прейскурантом на сайте, где также указаны доступные акции и предложения, а также существует возможность воспользоваться беспроцентной рассрочкой.

Особое внимание в Dent-x уделяется персональному подходу к каждому клиенту. Специалисты клиники готовы предложить как стандартные, так и люксовые варианты протезов. При этом организация гарантирует быстрый и качественный результат. Весь процесс протезирования может занимать от нескольких часов до нескольких недель, в зависимости от сложности случая и выбранного типа протеза.

Сайт клиники содержит подробную информацию о каждом этапе лечения, включая фотографии выполненных работ. Также клиенты могут ознакомиться с отзывами, рейтингом клиники и фотографиями до и после. Клиника предлагает удобную систему записи на прием, а квалифицированные техники и дантисты составят для вас индивидуальный план лечения, который обеспечит максимальный комфорт и точный результат.

Dent-x — это оптимальный выбор для тех, кто ищет надежную и доступную стоматологическую помощь в Твери.

Протезирование - современная безопасная процедура восстановления зубного ряда, которая отличается безболезненностью. Сегодня в стоматологии используют специальные материалы для протезирования, поэтому вставные протезы не выделяются на фоне "родных".

Каждый зуб — активный участник процесса пережевывания пищи. Отсутствие одного из них вызывает нарушение прикуса и ощущения дискомфорта. Чтобы вернуть естественную улыбку, восстановить целостность зубного ряда и жевательную функцию, замедлить процесс уменьшения костной ткани обратитесь в клинику Dent-X для установки зубного протеза в Твери.

Цены на протезирование зубов

B01.066.001 Прием (осмотр, консультация) врача стоматолога-ортопеда, первичный 1200
B01.066.002 Прием (осмотр, консультация) врача стоматолога-ортопеда, повторный 500
A23.07.002.034 Перебазировка нейлонового протеза 15000
A23.07.002.037 Починка нейлонового протеза 7500
A23.07.002.034 Перебазировка съемного протеза 6000
A23.07.002.037 Починка перелома базиса самотвердеющей пластмассой 5500
A23.07.002.044 Изготовление прикусного шаблона 3500
A23.07.002.063 Изготовление индивидуальной ложки 3500
A16.07.004 Восстановление зуба коронкой (временная коронка изготовленная прямым методом) 5000
A16.07.004 Восстановление зуба коронкой (временная коронка,слепки,фиксация,работа врача) 5800
A16.07.004 Восстановление зуба коронкой (временная коронка из ПММА) 9000
A16.07.006 Протезирование зуба с использованием имплантата (временная коронка на импланте) 15000
A16.07.006 Протезирование зуба с использованием имплантата (временная коронка на импланте-промежуточная часть) 10000
A16.07.004 Восстановление зуба коронкой (коронка из керамики/диоксида цирокния) 1 категория 32000
A16.07.004 Восстановление зуба коронкой (коронка из керамики/диоксида цирокния) 2 категория 25000
A16.07.004 Восстановление зуба коронкой (коронка из металлокерамики)(временная коронка,постоянная коронка,слепки,фиксация,работа врача) 19000
A16.07.006 Протезирование зуба с использованием имплантата (коронка из керамики/диоксид циркония) 45000
A16.07.006 Протезирование зуба с использованием имплантата (промежуточная часть из  керамики/диоксид циркония) 30000
A16.07.006 Протезирование зуба с использованием имплантата (коронка из металлокерамики) 35000
A16.07.006 Протезирование зуба с использованием имплантата (промежуточная часть из металлокерамики) 25000
A16.07.004 Восстановление зуба коронкой (коронка из керамокомпозита от 3-х зубов) 20000
A16.07.053 Снятие несъемной ортопедической конструкции (1 ед.) 800
A02.07.010 Исследование на диагностических моделях челюстей с восковой моделировкой будущей ортопедической конструкции с целью планирования препарирования, эстетики и функции (1 ед.) 2500
A02.07.010.001 Снятие оттиска с одной челюсти 1500
A16.07.049 Повторная фиксация на постоянный цемент несъемных ортопедических конструкций (адгезивная фиксация 1 ед.) 800
A16.07.033 Восстановление зуба коронкой с использованием цельнолитой культевой вкладки (под ключ) 8000
A16.07.033 Восстановление зуба коронкой с использованием культевой апрессованной вкладки 12000
A16.07.033 Восстановление зуба коронкой с использованием культевой вкладки из диоксида циркония 17000
A22.07.005 Цифровое оптоэлектронное сканирование зубов, челюстей и прикуса (интраоральное сканирование) 3000
A16.07.023 Армирование базиса съемного протеза (литая) 4500
A16.07.035 Протезирование частичными съемными пластиночными протезами (одна челюсть) 25000
A16.07.035 Протезирование частичными съемными пластиночными протезами с супер премиум пластмассой (одна челюсть) 35000
A16.07.035 Протезирование частичными съемными пластиночными протезами (нейлон)(одна челюсть) 40000
A16.07.035 Протезирование частичными съемными протезами (односторонний-нейлон)(одна челюсть) 50000
A16.07.035 Протезирование частичными съемными протезами (1-2 зуба - нейлон) 18000
A16.07.035 Протезирование частичными съемными пластиночными протезами (бюгельный протез с кламмерной фиксацией)(одна челюсть) 45000
A16.07.035 Протезирование частичными съемными пластиночными протезами (бюгельный протез с нейлоновыми кламмерами)(одна челюсть) 55000
A16.07.035 Протезирование частичными съемными пластиночными протезами (бюгельный протез с гнутыми кламмерами)(одна челюсть) 45000
A16.07.023 Протезирование зубов полными съемными пластиночными протезами (полный съемный протез)(одна челюсть) 35000
A16.07.023 Протезирование зубов полными съемными пластиночными протезами с методом объемного моделирования(одна челюсть) 40000
A16.07.023 Протезирование зубов полными съемными пластиночными протезами с армированной литой сеткой(одна челюсть) 40000
A16.07.023 Протезирование зубов полными съемными пластиночными протезами (полный съемный протез с супер премиум пластмассой)(одна челюсть) 55000
A16.07.023 Протезирование зубов съемным бюгельным протезом (на замках)(одна челюсть) 60000
A16.07.023 Протезирование зубов съемным бюгельным протезом (термопластичный кламмер)(одна челюсть) 45000
A16.07.023 Протезирование зубов съемным бюгельным протезом (телескопическая коронка)(одна челюсть) 50000
A16.07.023 Протезирование зубов съемным бюгельным протезом на балке(одна челюсть) 75000
A16.07.023 Протезирование зубов полными съемными пластиночными протезами (мультиюнит 1 ед.) 7500
A16.07.006 Протезирование зуба с использованием имплантата, трансфер слепочный 2500
A16.07.021 Коррекция прикуса с использованиемсъемных и несъемных ортопедических конструкций (защитная каппа при бруксизме) 10000
A16.07.003 Восстановление зуба виниром (Е-мах) 32000
A16.07.023 Ортопедический этап постоянного протезирование (Изготовление и фиксация условно-съемного адаптационного протеза с опорой на 2 дентальных импланта-шаровидного крепления)(одна челюсть) 75000
A16.07.023 Ортопедический этап постоянного протезирование (Изготовление и фиксация условно-съемного адаптационного протеза с опорой на 2 дентальных импланта-балочная фиксация)(одна челюсть) 90000
A16.07.023 Ортопедический этап временное протезирование (Изготовление и фиксация условно-съемного адаптационного протеза с опорой на 4 дентальных импланта)(одна челюсть) 90000
A16.07.023 Ортопедический этап постоянное протезирование(Изготовление и фиксация условно-съемного протеза с опорой на 4 имплантов)(одна челюсть) 280000 
A16.07.023 Ортопедический этап временное протезирование (Изготовление и фиксация условно-съемного адаптационного протеза с опорой на 6 дентальных импланта)(одна челюсть) 120000 
A16.07.023 Ортопедический этап постоянное протезирование(Изготовление и фиксация условно-съемного протеза с опорой на 6 имплантов)(одна челюсть) 345000 
A16.07.023 Ортопедический этап постоянное протезирование(Изготовление и фиксация условно-съемного протеза с опорой на 6 имплантов на балке)(одна челюсть) 375000 
A16.07.004 Восстановление зуба коронкой из металлокерамики(постоянная коронка ,слепки,фиксация коронки,работа врача) 2 категория 12000
A16.07.049 Повторная фиксация на временный цемент несъемных ортопедических конструкций (адгезивная фиксация 1 ед.) 400
A16.07.023 Ортопедический этап постоянное протезирование(Изготовление и фиксация протеза с опорой на 4 имплантов на балке)(одна челюсть) 300000 
А16.07.004 Восстановление зуба коронкой из металлокерамики(постоянная коронка ,слепки,фиксация коронки,работа врача) 1 категория 14000
Протезирование частичными съемными протезами (1-2 зуба ) 12000
Ортопедический этап постоянное протезирование(Изготовление и фиксация протеза с опорой на 4 имплантов на балке)(одна челюсть)(прототип протеза) 29600
Ортопедический этап постоянное протезирование(Изготовление и фиксация условно-сьемного протеза с опорой на 4 имплантов на балке)(одна челюсть) 180000 
Изготовление мягкой прокладки 3500
Восстановление зуба коронкой (коронка из керамокомпозита) 25000

Скрыть Показать все

Протезирование - современная безопасная процедура восстановления зубного ряда, которая отличается безболезненностью. Сегодня в стоматологии используют специальные материалы для протезирования, поэтому вставные протезы не выделяются на фоне "родных".

Каждый зуб — активный участник процесса пережевывания пищи. Отсутствие одного из них вызывает нарушение прикуса и ощущения дискомфорта. Чтобы вернуть естественную улыбку, восстановить целостность зубного ряда и жевательную функцию, замедлить процесс уменьшения костной ткани обратитесь в клинику Dent-X для установки зубного протеза в Твери.

Показания к протезированию зубов:

  • поверхность зуба сильно разрушена, но корневая система сохранена;
  • нет одного, нескольких или всех зубов;
  • наличие противопоказаний для установки импланта или хирургического вмешательства;
  • финансовые возможности не позволяют установить имплант;
  • зубной ряд деформирован;

Когда необходимо протезирование

К традиционной стоматологической ортопедии прибегают в двух случаях:

когда пациенту недостаточно восстановления методом пломбирования;

при отсутствии 1 и более зубов.

Восстановление зубного ряда - не прихоть, а необходимость, потому что утрата даже одного приводит к серьезным последствиям:

возникает костная атрофия челюсти;

на соседние зубы приходится дополнительная нагрузка, что приводит к их стачиванию;

наблюдается эффект компенсации, когда зубной ряд смещается.

Реставрация зубов позволяет избежать таких последствий и сохранить красоту природной улыбки. Целостность зубного ряда влияет на здоровье, самоощущение, внешний вид.

Методы протезирования: виды с ценами

Протезирование бывает двух видов: съемное и несъемное. Съемное протезирование в стоматологии предполагает установку пластинчатых или бюгельных протезов, а также других разновидностей. Несъемное протезирование зубов происходит методом имплантации. Протезы производятся из современных материалов высокого качества, полностью безопасных для здоровья. В их составе нет опасных компонентов. Стоимость стоматологических протезов зависит от материала, из которого они изготовлены. Изделия могут быть выполнены:

  • из специальной безметалловой керамики;
  • из диоксида циркония;
  • из современной металлокерамики.

Безметалловая керамика дороже, она имеет естественный оттенок зубной эмали и никак не выделяется на общем фоне. Сложно даже предположить, что это искусственные зубы. Однако и другие материалы тоже выглядят достаточно естественно. Если хочется сэкономить, то можно выбрать бюгельное протезирование зубов.

Съемное протезирование зубов

Это самая распространенная технология благодаря сочетанию высокого качества протезов и цены. Съемные протезы имеют надежное основание из современного полимера, который имитирует десны. В основание вставлены протезы из выбранного пациентом или специалистом материала. Система изготавливается для конкретного пациента после тщательного обследования (получения слепков, рентгеновских снимков).

Несъемное протезирование зубов

Такой вид процедуры пользуется высоким спросом у относительно молодых людей. Способов восстановления в последние годы стало больше. С помощью несъемных протезов можно эффективно восстановить зубной ряд. Цены на процедуру разные и зависят от материала протеза, количества утраченных зубов. Цена протеза может колебаться в пределах 25-50 тысяч рублей.

Бюгельные протезы

Это технология, которая имеет ряд особенностей. Она недорогая, качественная и подходит не только для восстановления зубного ряда. Если у пациента пародонтоз, то с помощью протеза можно закрепить зубы и предотвратить их утрату. Протезы полностью незаметны, что только повышает их популярность.

Металлокерамика

Качественное протезирование возможно только при условии использования материалов нового поколения. Один из таких материалов - металлокерамика. Чаще всего ее используют в несъемном протезировании. Протез не только надежный, но и недорогой. Единственный недостаток метода в том, что несъемное протезирование зубов требует обтачивания соседних зубов под установку коронки.

Отдельно стоит упомянуть о таком методе, как микропротезирование. С его помощью можно восстановить зубной ряд. Специалисты используют виниры и внутренние протезы для решения проблем.

Какой вид протезирования выбрать? Это зависит от бюджета, количества утраченных зубов, личных предпочтений, рекомендаций специалиста. Многие люди выбирают несъемное протезирование, потому что им не хочется иметь дело со съемными конструкциями. Это вполне понятное желание.

Съемные протезы имеют важное преимущество - они практически лишены противопоказаний и подходят всем. Такие протезы" можно использовать даже при наличии различных заболеваний, которые исключают дополнительное вмешательство. При этом отсутствует риск утраты целых зубов - их не придется обтачивать.


Как происходит протезирование зубов?

Протезирование зубов — это многоэтапный процесс, который позволяет восстановить функциональность и эстетический вид зубного ряда. Этот процесс является необходимым для тех, кто утратил зубы в результате травм, заболеваний или возрастных изменений. Каждый этап протезирования тщательно планируется квалифицированным дантистом с учетом индивидуальных особенностей полости рта пациента.

На первом этапе проводится подготовка. Выполняется диагностика состояния зубов и челюсти, а также оценивается сложность и объем предстоящей работы. Применяется современное оборудование, которое позволяет максимально точно определить состояние зубов. Составить план лечения, где учитывается тип протезирования, который подойдет именно вам: тотальный протез, мост или съемные конструкции.

Следующий этап — удаление поврежденных или не подлежащих восстановлению зубов. После удаления проводится коррекция костной ткани, если это необходимо, чтобы обеспечить правильную установку протеза. Для этого используются высококачественные материалы, что делает процедуру безболезненной и безопасной.

Далее идет установка временного протеза, который поможет приблизить пациента к его будущей улыбке. После того, как вся подготовка завершена, проводится примерка основного протеза. Важно, чтобы протез подходил идеально — это обеспечит здоровую и красивую улыбку.

Завершающим этапом является окончательная установка и фиксация протеза. Протез может быть закреплен на имплантах, мостах или других опорах. После установки проводится корректировка, чтобы убедиться, что форма и функциональность протеза полностью соответствуют ожиданиям клиента.

Протезирование зубов в Твери в стоматологии Dent-x

Стоматология Dent-x — одна из ведущих клиник в Тверской области, где предлагается широкий спектр услуг, включая высококачественное протезирование зубов. Наша клиника находится в центральном районе города, что делает ее удобным для посещения гражданам и пенсионерам.

Dent-x предлагает своим клиентам разнообразные варианты протезирования, от простых съемных протезов до сложных тотальных конструкций. В клинике работают квалифицированные специалисты, которые помогут вам сделать точный выбор, исходя из ваших потребностей и состояния полости рта. Каждый клиент может ознакомиться с прейскурантом на сайте, где также указаны доступные акции и предложения, а также существует возможность воспользоваться беспроцентной рассрочкой.

Особое внимание в Dent-x уделяется персональному подходу к каждому клиенту. Специалисты клиники готовы предложить как стандартные, так и люксовые варианты протезов. При этом организация гарантирует быстрый и качественный результат. Весь процесс протезирования может занимать от нескольких часов до нескольких недель, в зависимости от сложности случая и выбранного типа протеза.

Сайт клиники содержит подробную информацию о каждом этапе лечения, включая фотографии выполненных работ. Также клиенты могут ознакомиться с отзывами, рейтингом клиники и фотографиями до и после. Клиника предлагает удобную систему записи на прием, а квалифицированные техники и дантисты составят для вас индивидуальный план лечения, который обеспечит максимальный комфорт и точный результат.

Dent-x — это оптимальный выбор для тех, кто ищет надежную и доступную стоматологическую помощь в Твери.

Нужна консультация?

Оставьте ваш номер телефона и наши специалисты свяжутся с вами в ближайшее время.

Или напишите нам в WhatsApp

Заказать звонок

Прием ведут специалисты:

Часто задаваемые вопросы

На все интересующие Вас вопросы мы с радостью ответим на консультации. Ниже, мы разместили наиболее частые вопросы. 

Действительно, положение молочных зубов не влияет на положение постоянных зубов, но слишком ранняя потеря молочных зубов может способствовать неправильному прикусу, поэтому к ортодонту нужно привести ребенка, когда у него еще молочный прикус.

Многие родители думают, что пока все зубы не прорежутся, их можно не чистить и объясняют это тем, что между первыми зубами пока есть промежуток, где не застревают остатки пищи. А некоторые боятся, что ребенок может наглотаться пасты и отравиться. Молочные зубы надо начинать чистить с появлением первых зубов. Для детей есть специальные пасты, предназначенные для возрастной категории от 0 до 3-х лет - их можно глотать.

У молочных зубов точно такое же строение как у постоянных, только размер маленький. У них тоже есть нервы и они могут болеть. Зубная боль может способствовать нарушению сна у малышей, а также привести к отказу от пищи и другим неприятностям. Молочные зубы обязательно нужно лечить.

Зубы мудрости часто не прорезаются (остаются в челюсти) и давят на соседние зубы, и это доставляет дискомфорт, а иногда причиняет боль, а также может произойти воспаление. Зубы мудрости также очень сложно лечить из-за нехватки места для манипуляций. Поэтому зачастую при ряде проблем, связанных с зубами мудрости, они подлежат удалению.

Сначала нужно сделать Rg снимок. Врач определит по снимку состояние вашего зуба. Если он не подлежит терапевтическому лечению, тогда придется удалять.

Все зависит от ситуации в каждом конкретном случае. При консультации врач-ортодонт, изучив ваш случай на КЛКТ, может проинформировать вас о выборе брекет-системы, о сроках ношения, об этапах и о точной цене.

Сначала вы приходите на консультацию к врачу-имплантологу. Врач оценивает состояние зубочелюстной системы. Затем Вас направляют на доп диагностику - КЛКТ. Изучив состояние костной ткани врач определяет нужны ли вам дополнительные операции такие как: наращивание костной ткани, синус-лифтинг. Далее с вами обсуждается количество, виды и этапы имплантологии и, конечно же, Вы выбираете вид системы (имплант производства какой страны хотели бы приобрести). Потом врач назначает вам ряд анализов, которые необходимо сдать перед операцией. Далее назначается день операции. Перед данной процедурой необходимо обязательно провести санацию и профчистку зубов у терапевта. Во время имплантологии под анестезией делается разрез над десной, вставляется имплант в челюсть (вместо корня зуба) и накладываются швы. Делается обязательный повторный снимок для контроля.Через 3 месяца после вживления снова под анестезией делается разрез над десной, где находится имплант, и вставляется формирователь десны (готовится место для коронки), а через 3 недели начинается протезирование (изготавливается коронка и вставляется на имплантат).

Стоимость одной единицы металлокерамики будет составлять: 7500 руб. (коронка) + 3000 руб. (работа врача)

Отзывы о стоматологии

Огромное спасибо доктору Самеду Дашгыновичу за внимательное отношение, за профессионализм. У доктора золотые руки! Не больно! Не страшно!

Мария Посмотреть отзыв

Благодарность доктору Ирине Валентиновне, учитывала все мои показания и вопросы, работа выполнена на отлично.

Андрей Посмотреть отзыв

Знакомство с вашей клиникой началось с общения с администратором Тихомировой Любовь Борисовной, очень приятная и вежливая. А врач Тарасенко Ирина Валентиновна имеет большое терпение и золотые руки. Спасибо Вам большое! Терпения и здоровья Вам.

пациент Варламова Посмотреть отзыв

Дурсунов Самед Дашгынович. За последние 3 года сколько раз был у зубного врача, это лучший специалист своего дела. Спасибо вам за то что вы так хорошо относитесь к своим пациентам. К такому стоматологу не страшно прийти еще раз!!!

Новиков Виталий Константинович Посмотреть отзыв