г. Тверь, бульвар Цанова, д. 1Б, ТЦ «Домино», 2 этаж

пн-пт: с 9:00 до 20:00

сб: с 9:00 до 19:00

вс: с 9:00 до 16:00

Телефоны нашей клиники

Вы можете позвонить нам по одному из номеров представленных ниже

Записаться онлайн

Годжаев Наил Джахангирович

Должность Врач стоматолог ортопед
Стаж работы с 2012 года
Специальность Врач стоматолог ортопед

О специалисте

Наил Джахангирович Годжаев - ведущий стоматолог ортопед нашей клиники! 

Более 10 лет опыта и 7 лет успешной работы в нашей клинике позволяют доктору Годжаеву выполнять протезирование любой сложности, включая установку виниров и имплантатов. Высокий профессионализм и востребованность подтверждают безупречную репутацию специалиста. 

Окончил Тверскую государственную медицинскую академию по специальности "Стоматология" в 2012 году

Проходил интернатуру по специальности "Стоматология общей практики" в ТГМУ с 2012 по 2013 гг.

Сертификат "Стоматология общей практики", ТГМУ 2013 год

Проходил ординатуру по специальности "Стоматология ортопедическая" в ТГМУ с 2013 по 2015 гг.

Сертификат "Стоматология ортопедическая", ТГМУ 2015 год

Дополнительное обучение:

Сертификат «Лечение кариеса от профилактики до лечения осложнений», г. Тверь 2013 год

Сертификат «Реставрация сквозных дефектов. Функциональные и эстетические аспекты в восстановлении угла коронковой части фронтального зуба», г. Тверь 2013 год

Сертификат «Препарирование зубов под металлокерамические и безметалловые конструкции», г. Новороссийск 2016 год

Сертификат «Препарирование зубов под все распространенные дизайны виниров», г. Новороссийск 2016 год

Сертификат «Препарирование под окклюзионные микропротезы: вкладки, накладки, полукоронки», г. Новороссийск 2016 год

Сертификат «Протезирование на имплантах», г. Москва 2017 год

Свидетельство «Теоретические и практические основы успешного имплантирования и протезирования на основе системы», г.Тверь 2017 год

Сертификат «Особенности реабилитации пациентов с применением систем имплантов NobelParallel и NobelActive», г. Москва 2018 год

Сертификат «Протоколы эстетической реабилитации: от одиночной имплантации к тотальной», г. Москва 2018 год

Сертификат «Эффективное общение с пациентом. Обсуждение плана лечения, продажа на первичной консультации», г. Москва 2018 год

Сертификат «Немедленная нагрузка – от включенного дефекта до полной адентии», г. Тверь 2019 год

Сертификат «Эстетика как повседневное искусство», г. Санкт - Петербург


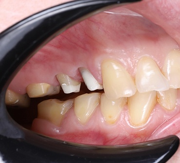
До

Внимание! Изображение может вызвать шок или неприятные эмоции.

Смотреть

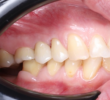
После

Восстановление зуба коронкой

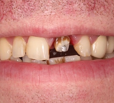
До

Внимание! Изображение может вызвать шок или неприятные эмоции.

Смотреть

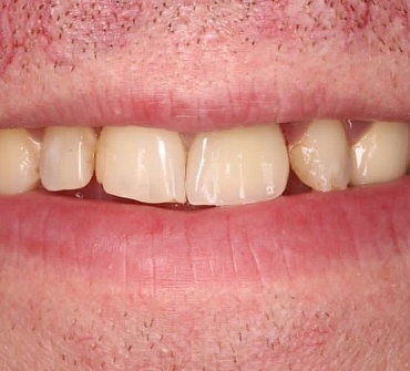
После

Протезирование в эстетически значимой зоне

Восстановление эстетики циркониевой коронкой. Работа врача стоматолога - ортопеда - Годжаева Наила Джахангировича.

Нужна консультация?

Оставьте ваш номер телефона и наши специалисты свяжутся с вами в ближайшее время.

Или напишите нам в WhatsApp

Заказать звонок