г. Тверь, бульвар Цанова, д. 1Б, ТЦ «Домино», 2 этаж

пн-пт: с 9:00 до 20:00

сб: с 9:00 до 19:00

вс: с 9:00 до 16:00

Телефоны нашей клиники

Вы можете позвонить нам по одному из номеров представленных ниже

Записаться онлайн

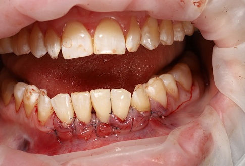
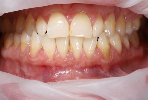
Наращивание десны

Фото «До» и «После»

Внимание! Изображение может вызвать шок или неприятные эмоции.

Смотреть

Нужна консультация?

Оставьте ваш номер телефона и наши специалисты свяжутся с вами в ближайшее время.

Или напишите нам в WhatsApp

Заказать звонок